Nature:揭示肠道菌群影响人类胰腺癌疗法疗效的分子机制

Nature:揭示肠道菌群影响人类胰腺癌疗法疗效的分子机制
    马上咨询

    发布者:医学情报室 来源:生物谷 2023-03-06

      由于转移性疾病的高发病率且对疗法的反应有限,科学家们预计到2040年,胰腺导管腺癌(PDAC)将会成为人类第二大致命性的癌症类型;仅有不到一半的患者会对针对PDAC的主要疗法—化疗产生反应,然而仅靠遗传改变却并不能解释这种情况;饮食是一种会影响患者对疗法反应的环境因素,但其在PDAC发生过程中所扮演的关键角色,研究人员并不清楚。
      近日,一篇发表在国际杂志Nature上题为“Microbiota-derived 3-IAA influences chemotherapy efficacy in pancreatic cancer”的研究报告中,来自德国汉堡大学医学中心等机构的科学家们通过研究发现了肠道菌群积极影响癌症疗法的一些通路;文章中,研究者分析了肠道微生物对接受化疗的胰腺导管腺癌治疗效应的影响。
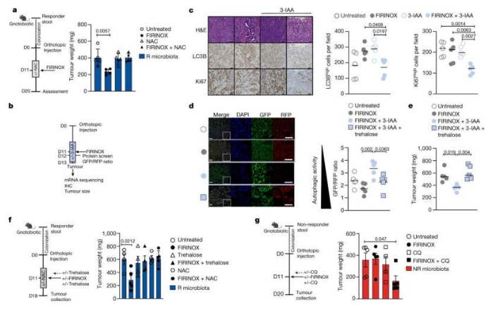
      此前研究结果表明,化疗在治疗发生转移的胰腺癌上有时能发挥疗效,但有时却没有任何效果,这种差异或许与机体对饮食的抵抗有关,尽管其来源研究人员尚不清楚。这项研究中,研究人员分析了肠道微生物组中的特定微生物在其中扮演关键作用的可能性,首先他们分析了来自胰腺癌患者机体肠道微生物组的样本,结果发现对疗法能产生反应和无法产生反应的患者之间存在一些差异,同时他们还发现,接受来自对化疗能产生反应的小鼠机体的生物组样本的无菌肠道的小鼠也会对化疗产生很好的反应。

    揭示肠道菌群影响人类胰腺癌疗法疗效的分子机制。
    图片来源:Nature (2023). DOI:10.1038/s41586-023-05728-y

      为了更好地理解肠道微生物组在化疗效果上所扮演的关键角色,研究人员收集了对化疗产生反应和无反应患者机体的血液样本,结果发现反应较好的患者机体中名为3-IAA的分子水平也相对较高,进一步研究后,研究者发现,这种分子是由两类肠道菌群所产生的,随后他们尝试将3-IAA直接添加到癌症小鼠模型所吃的食物中,结果发现,小鼠会对化疗表现出较强的反应性。研究者指出,当氨基酸与色氨酸(tryptophan,一种存在于许多种食物中的分子),3-IAA就会在肠道中产生,随后对癌症小鼠模型进行分析后研究者发现,增加含有这种分子的食物的水平或许就能促进化疗的治疗。
      在探索为何高水平的3-IAA分子能帮助化疗更好地发挥作用时,研究人员发现,该分子的存在能帮助调节机体中名为中性粒细胞的免疫细胞;总体来讲,肠道中的微生物或能或能借助血液向远端的肿瘤发送信号从而抵御癌症,而在那里其你能通过促进免疫系统发挥作用来促进化疗物质的释放从而持续抵御癌症的进展。综上,本文研究结果表明,研究人员识别出了一种微生物群落所衍生的代谢产物,其在治疗人类胰腺胆管腺癌上或许拥有一定的临床应用意义,这或许就为科学家们子治疗癌症患者期间考虑使用营养干预策略提供了一定的思路和动力。

    原始出处:
    Tintelnot, J., Xu, Y., Lesker, T.R. et al. Microbiota-derived 3-IAA influences chemotherapy efficacy in pancreatic cancer. Nature 615, 168–174 (2023). doi:10.1038/s41586-023-05728-y

    本站使用百度智能门户搭建 管理登录